
Common Injuries in Cavus Feet
Do you have cavus feet, or feet with high arches? Are those feet painful? This high arch, places excessive pressure on the heel and ball of your foot, especially the first and f...
Learn how to grow your business with our expert advice.
Do you have cavus feet, or feet with high arches? Are those feet painful? This high arch, places excessive pressure on the heel and ball of your foot, especially the first and f...
Are you tired of having heel pain, especially in your aching Achilles tendon? There are things you can do to get the relief you deserve. Achilles tendonitis a painful condition ...
Do you ever wonder what shoes will help alleviate the pain in the balls of your feet? The right pair of shoes can help you reduce or even get rid of the pain in the balls of you...
Are you one of the many people suffering from the debilitating pain of a neuroma in the balls of your feet? If so, you know firsthand how this condition can negatively impact yo...
Are you suffering from pain in the balls of your feet? This pain could be metatarsalgia. Metatarsalgia is a common condition that can severely impact your daily life. But fear n...
If you’re looking to elevate your pickleball game, then it’s time to pay attention to your feet and ankles. These two often-overlooked body parts play a crucial role in determin...
Are you tired of limping off the pickleball court with aching feet and ankles? You’re not alone. Pickleball is a fast-paced sport that requires quick lateral movements and repet...
What is the difference between custom and over the counter orthotics? Well, over the counter orthotics are made based off of the “average foot”. The quality of the orthotic vari...
What is an Orthotic? An orthotic is an insert made to go inside your shoes. It can be as simple as a heel lift, or a custom orthotic made to support your arch type or treat your...
If you have read my previous blog, or subscribe to me on YouTube , you know that I have had foot surgery. Twice. My previous blog was about my first surgical experience. In this...
Are you going to have foot or ankle surgery? Do you have a million and one questions about it? Are you nervous? I know how you feel! I have been there myself – TWICE! While I wa...
Happy holidays everyone! I cannot believe it, but the holidays are here again! It comes so fast for me every year. Here are some gift ideas for that person in your life with foo...
Do you have heel pain ? Are you worried about getting heel pain? Here are three things you have may be doing that are causing you heel pain, or put you at a great risk for devel...
Have you ever been told you have a bone spur in your heel ? Did that make you worry about that bone spur and make you want it taken out surgically? Does that bone spur matter? H...
Have you ever had foot or ankle pain and wondered if your shoes are the problem? Do you feel like your foot hurts more with a certain pair of shoes and not others? If you have e...
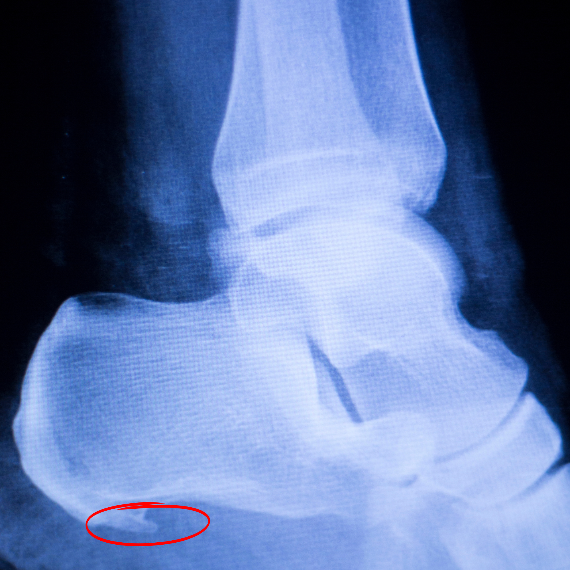
You may have heard about Tennessee Titans’ Derrick Henry’s reported Jones fracture injury. Here is some information on Jones fractures and what they are. Derrick Henry broke his...
Have you ever wondered if you need to do anything specific to take care of your feet? Is there something you shouldn’t do for your foot health? If you have ever wondered any of ...
Why do my feet hurt? Do you wonder if you have flatfeet that may be causing your pain? What are flatfeet? Flatfeet are feet that have lost or have a decrease in their medial arc...
Do you feel like you roll your ankles all the time? When you’re playing sports or being active, do you feel like your ankles twists or give out on you? You could have chronic an...
Have you ever wondered if you should get a pedicure? If it is safe to get one? If there are certain things you should or should not do? If you have ever wondered about any of th...
Are flip flops good for your foot and ankle health? Are flip flops something I should or should not wear? Are there flip flops that are good for your feet? If you have ever wond...
Do you ever look at your child and wonder if their feet are too flat? Why do they walk on their tippy toes? Why do they seem to point their toes outward when walking? Do you eve...
Are you a professional dancer, or someone that just loves to take dance classes, but you find that your feet are hurting more and more? Are your feet achy after dance class? Do ...